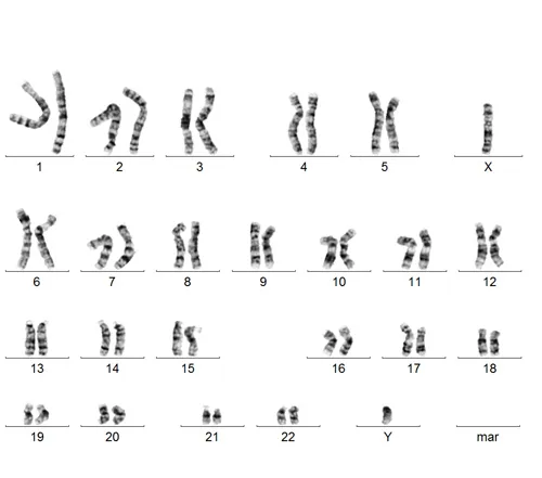
Důvodem odběru je určení karyotypu vyšetřovaného pacienta. Při cytogenetickém vyšetření karyotypu z krve jsou kultivovány T-lymfocyty. Dělení T-lymfocytů je stimulováno rostlinným lektinem Phytohemaglutininem (PHA). Pod mikroskopem je sledován počet a struktura jednotlivých chromozomů. Odběr se neprovádí po transfuzi a provedené infuzi (u novorozence) z důvodů vlivu na výsledky vyšetření. U pacienta po transfuzi by karyotyp odpovídal karyotypu dárce, ne pacienta.

Indikace k vyšetření

  • abnormální fenotypické příznaky u pacienta
  • problémy růstu a vývoje u pacienta
  • mentální retardace pacienta nebo v rodině pacienta
  • narození mrtvého plodu a úmrtí novorozence
  • opakované spontánní potraty
  • problémy s fertilitou
  • pozitivní rodinná anamnéza chromozomálních přestaveb
  • screeningové vyšetření dárců oocytů a spermií

Odběr materiálu na cytogenetické i molekulárně genetické vyšetření nevyžaduje žádnou speciální přípravu pacienta. Krev se odebírá z periferní žíly v loketní jamce.

xy

Karyotyp z plodové vody

Důvodem odběru plodové vody je požadavek na chromozomální vyšetření buněk plodu (tzv. amniocytů) nebo vyšetření jednotlivých genů k vyloučení vývojových vad u plodu. Zároveň lze vyšetřit hladinu alfafetoproteinu v plodové vodě. Jedná se o invazivní vyšetření, kdy riziko komplikací se pohybuje okolo 0.5- 1%. Proto musí být jasná indikace k provedení odběru plodové vody (amniocentéze). Plodová voda obsahuje kožní a slizniční buňky z povrchu plodu. Tyto buňky se v kultivačním mediu v laboratorních podmínkách dále dělí a dalším zpracováním je možné z nich vyšetřit chromozomy plodu a jeho genetickou výbavu. Změny v počtu nebo ve struktuře chromozomů doprovázejí závažné vrozené vývojové vady, které ve většině případů nelze po porodu léčit.

Amniocentéza se provádí nejčastěji mezi 16.-18. týdnem gravidity, lze ji však provést již od 14. týdne těhotenství. V případě odběru provedeného ve vyšších týdnech gravidity je potřeba brát v úvahu, že přerušení těhotenství z důvodu poškození plodu je až na výjimky povoleno pouze do konce 24. týdne těhotenství. Vlastní kultivace a zhodnocení preparátu se pohybuje mezi 9 - 16 dny, proto je důležitý termín provedení odběru. Je nutné počítat s dostatečnou lhůtou na kultivaci, zpracování a odečtení vzorku.

Indikace k vyšetření:

  • předchozí narození plodu s chromozomální abnormalitou nebo s vrozenými vývojovými vadami
  • narození mrtvého plodu nebo úmrtí novorozence
  • nosičství chromozomální přestavby
  • opakované spontánní potraty
  • výskyt mozaiky nebo aneuploidie pohlavních chromozomů u jednoho z rodičů
  • pozitivní screening mateřského séra
  • věk matky nad 35 let
  • patologický nález na ultrazvuku
  • pozitivní screening I. trimestru
  • další méně časté indikace

Po ultrazvukovém vyšetření a náběru krve se těhotné pacientce provede odběr plodové vody pod kontrolou ultrazvuku a za sterilních podmínek. Vlastní odběr plodové vody provádí lékař gynekolog punkcí přes stěnu břišní při kontrole ultrazvukem, aby nedošlo k poranění plodu. Poloha hrotu při vpichu je neustále kontrolována ultrazvukem. Při standardním odběru je odsáto do tří zkumavek celkem 20 ml plodové vody, tj. pouze 5 % celkového množství plodové vody. Odsáté množství se do několika málo hodin opět doplní. Bolestivost výkonu je srovnatelná s běžnou injekcí nebo odběrem krve. Po výkonu, pokud se těhotná cítí dobře, může s doprovodem odejít domů.